February
12
Please Please Me
I don’t want to make anyone uncomfortable, but let’s face it- Valentine’s Day is all about pleasure. Whether it comes from a special meal, a box of chocolates, a sappy card or a night with a significant other, millions of people devote time on their Valentine’s Day to things that please them. So before you head off to enjoy your own V-Day plans, take a brief foray with me into the neuroscience of those lovely pleasurable feelings.
The Reward System
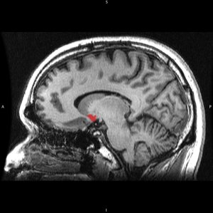
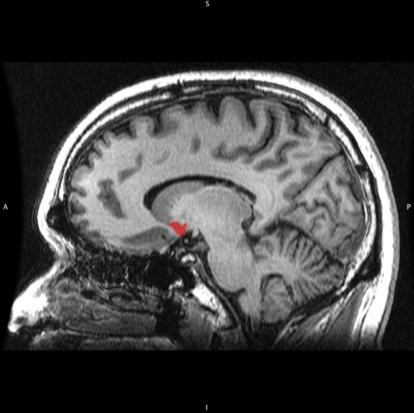
The most commonly cited brain region when discussing pleasure is the nucleus accumbens. This small subcortical structure is a critical part of what is commonly referred to as the “reward system” in the brain. The nucleus accumbens receives a high density of projections from the ventral tegmental area (VTA) neurons. These neurons produce dopamine, which is the neurotransmitter generally associated with the creation of pleasurable or rewarding feelings (Pierce and Kumaresan, 2006). The nucleus accumbens and VTA are just two parts of the limbic system, which plays a critical role in emotion and motivation.
Drugs of abuse appear to almost universally increase the response of the nucleus accumbens to dopamine, both when taken and anticipated. (Ikemoto 2007). Interestingly, sugar and other tasty foods have been found to produce similar effects in the nucleus accumbens. A study by Hajnal and colleagues found a dose-dependent effect of sucrose on the amount of dopamine found in the area surrounding the nucleus accumbens; the higher the concentration of the sucrose solution, the more dopamine found extracellularly. This might help explain the highly rewarding and possibly addictive qualities of sweet foods on much of the population.
Sex on the Brain
Say the word “pleasure” to anyone above the age of 13 and their first association will likely be with sex. Sex, and the pleasure and complications it brings with it, is a cornerstone of our society whether we like it or not. That even the discussion of sex has been considered taboo for much of history has meant it is not as well studied in humans as are more mundane aspects of our daily lives. Couple that with the physical limitations of many brain imaging techniques and there is still much we don’t know about the brain during sex. But several intriguing studies have illuminated some of the processes underlying sexual pleasure.
The brain region most associated with sexual pleasure, particularly orgasm, is the orbitofrontal cortex. The orbitofrontal cortex has been associated with conscious control of actions, and hyperactivity of the area has been found in patients with obsessive-compulsive disorder (Beauregard et. al., 2001). A decrease in blood flow has been found during both male and female orgasm, possibly indicating a decrease in activity and a loss of “active control”. (Georgiadis et. al. 2006). The activity of the orbitofrontal cortex has also been found to be modulated by pleasure induced by other stimuli, such as food and music (Georgiadis and Kringelbach, 2012). Hopefully as the topic of sex becomes more commonly discussed and neuroimaging techniques develop, we can learn even more about this most crucial of human behaviors.
Love Your Brain
This Valentine’s Day, why don’t you take a moment from your festivities and give thanks for the marvelous organ* that allows you to feel pleasure? Whether you’re getting it from a box of Godiva chocolates or from that special someone, the pleasure that enriches and enhances our lives simply would not be possible without our brain. So give your brain a valentine this year- it deserves it!
*Get your mind out of the gutter!
References Cited
M. Beauregard, J. Lévesque and P. Bourgouin (2001); Neural correlates of conscious self-regulation of emotion. The Journal of Neuroscience, 21(18): 6993-7000
J.R. Georgiadis, R. Kortekaas, R. Kuipers, A. Nieuwenburg, J. Pruim, A. A. T. S. Reinders and G. Holstege (2006); Regional cerebral blood flow changes associated with clitorally induced orgasm in healthy women. European Journal of Neuroscience, 24(11):3305-3316
J.R. Georgiadis and M.L. Kringelbach (2012); The human sexual response cycle: Brain imaging evidence linking sex to other pleasures. Progress in Neurobiology, 98:49-81
S. Ikemoto (2007); Dopamine reward circuitry: Two projection systems from the ventral midbrain to the nucleus accumbens-olfactory tubercule complex. Brain Research Reviews, 56:27-78
R.C. Pierce and V. Kumaresan (2006); The mesolimbic dopamine system: The final common pathway for the reinforcing effect of drugs of abuse?. Neuroscience and Biobehavioral Reviews, 30:215-258



You must be logged in to post a comment.