November
18
Tags
COVID-19 on the brain
As the world has struggled with the COVID-19 pandemic over the past nearly two years, scientists and doctors have worked in absolute overdrive to provide patients with safe and effective treatments and preventative vaccines in record time. However, providing treatment options for patients infected with the novel SARS-CoV-2 virus has been a challenge due to the fact that the virus was previously unknown in humans, and a full understanding of how the virus infects our bodies and affects the function of different bodily systems requires time for careful observation and laboratory testing.
When we think of the points of attack in the body for SARS-CoV-2, we commonly think of the lungs, which explains the primary symptoms of coughing and shortness of breath and why severely ill COVID-19 patients sometimes need to be placed on ventilators. However, research since the emergence of the virus actually shows that the virus can wreak havoc on many of our organs, including the heart, nose, liver, and kidneys [1]. This is because SARS-CoV-2 requires certain protein keys to be present on the outside surface of different types of cells to enter and infect them. These proteins appear to be present in large amounts on the cells that make up the alveolar sacs in the lungs where oxygen and carbon dioxide are exchanged with the bloodstream, which could explain the breakdown in breathing function during severe COVID-19 cases. However, these proteins are also present in capillary endothelial cells, which are the cells that make up our smallest blood vessels from which gases and molecules are deposited from the bloodstream all over the body [2,3,4]. Because of this, these protein keys are enriched in vital organs, such as the heart, kidneys, gut, and – importantly for this article – the brain.
The effects of COVID-19 on the brain
Not long into the pandemic, it became clear that respiratory and immune symptoms, such as cough and fever, were not the entire story of this new and dangerous disease. Patients also began to exhibit neurological symptoms such as headache, dizziness, loss of taste and smell, memory problems, inability to concentrate, and personality changes. These symptoms are even sometimes reported to persist for months. Over a year ago, we published an article at NeuWriteSD that explored these symptoms and their possible causes. At the time, scientists weren’t sure if the SARS-CoV-2 virus could directly infect and damage the brain to cause these symptoms, or if the neurological effects stemmed from brain damage sustained secondarily from lack of oxygen and blood delivered to the brain during acute respiratory symptoms.
Since then, new research has been published in scientific journals to shed light on this question. Specifically, an October 2021 research article [5] investigating brain tissue from COVID-19 patients and SARS-CoV-2-infected laboratory animal models has made major advances in our understanding of COVID-19-induced brain damage with implications for potential treatments to reduce this injury and avoid neurological effects.
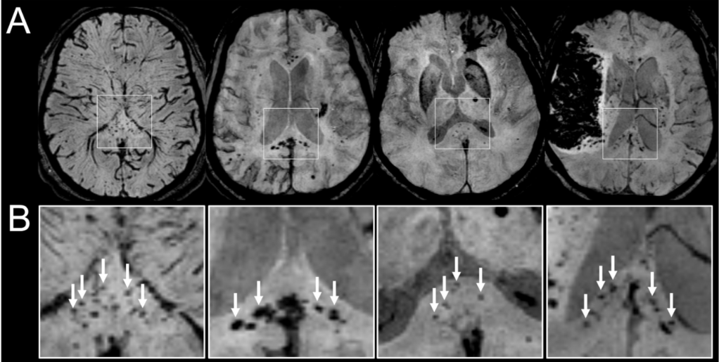
Previous scientific publications have shown, with somewhat varying results between patients, that the genetic material or proteins associated with the virus could be found in some patients’ brains, cerebrospinal fluid (the fluid that surrounds and provides cushion for the brain and spinal cord), and brain endothelial cells (the cells that make up blood vessels in the brain) [6], which suggested that the virus itself can make it into brain tissue. In addition, brain imaging and autopsy studies observed lesions in the brains of COVID-19 patients that are consistent with disease of the brain blood vessels [7].

When we think of “brain cells,” it is easy for us to only consider neurons, which are the electrically active cells in the brain that send and receive chemical and electrical messages in large networks. However, the brain also includes other important classes of cells, including glia and the often-overlooked endothelial cells. As described earlier, endothelial cells make up our blood vessels. Nowhere in the body are endothelial cells as specialized or important as those that make up the blood vessels in the brain. These endothelial cells serve the extremely important function of making up the blood-brain barrier (BBB), which provides extraordinary control over what materials make it from the blood into the brain tissue. For instance, the BBB allows molecules of glucose from the blood into the brain to provide energy for its function, but generally stops toxins and pathogens that can cause disease. In fact, the BBB can be so strict on what passes into the brain that it often proves difficult for even medications and other therapeutics to make it into brain tissue [8]. Damage to the BBB leaves the brain susceptible to disease and trauma, and COVID-19 patients have been observed to exhibit signs of BBB breakdown.
However, the question still stands: are the BBB breakdown and neurological symptoms due to the virus’ effects on other parts of the body, or does the SARS-CoV-2 virus directly infect and destroy endothelial cells? In last month’s study mentioned above [5], the authors reveal evidence that SARS-CoV-2 directly infects and is responsible for the death of brain endothelial cells through specific molecular mechanisms within the cell, and that these mechanisms may represent targets for drugs that could help avoid this blood vessel destruction in future patients. The rest of this article will explore these findings and consider recent efforts by drug companies that may support brain health in the context of COVID-19.

How does SARS-CoV-2 directly impact the brain?
To define the exact type of damage underlying the BBB breakdown seen in COVID-19 patients, the authors of last month’s paper [5] began by examining the brain tissue of 17 COVID-19 patients and 23 control patients of the same ages and sexes that were hospitalized for other serious non-COVID medical events. The brains of COVID-19 patients exhibited more string vessels, which are the remnants of brain blood vessels after the death of the brain endothelial cells that comprise them. Additionally, the brain endothelial cells of COVID-19 patients more often expressed proteins that signal cell death. Interestingly, the control group of patients also contained some individuals that had been hospitalized in the intensive care unit for lung-related illnesses and placed on ventilators. Neither group’s brain tissue exhibited signs of a global lack of oxygen from hospitalization or ventilation, suggesting that the increased destruction of brain capillaries was due to infection with SARS-CoV-2 itself and not a secondary effect of poor oxygen levels in the brain.
After determining that brain endothelial cells make the proteins necessary for SARS-CoV-2 to enter and infect them, the researchers set out to find the link between infection with the virus and the eventual breakdown of blood vessels into string vessels. To do this, the authors looked to the molecular mechanisms within the cells themselves. The SARS-CoV-2 virus contains the genetic material to create Mpro, a protein that functions to cut apart other proteins. When the researchers injected a lab-derived virus designed to deliver the genetic information for creating Mpro to brain endothelial cells in mice, they found that the density of brain blood vessels decreased while the number of string vessels increased. These results indicate that introducing Mpro into the brain either by a lab-derived virus or by infection of SARS-CoV-2 can result in the destruction of brain blood vessels and the BBB.
But, what inside the endothelial cells does the viral Mpro affect, and why do brain endothelial cells appear especially vulnerable? The authors found that Mpro introduced by the virus destroys a protein within the target cell that is important for mounting immune responses. This is an alarming, yet effective tactic on behalf of SARS-CoV-2 – infecting a cell and inhibiting its ability to fight off the invader could greatly increase the ability for the virus to take over. Unfortunately, however, some cell types in the body also greatly rely on the same protein for their normal survival. When the researchers used a special mouse in which they could turn off the activity of that protein in brain endothelial cells, they found that the microvessels completely broke down into string vessels, just like when they introduced Mpro into the same cells.
Taking all of these complicated data together, this paper is extremely important to demonstrate the following:
- COVID-19 can enter and directly affect the health of the cells that make up brain blood vessels
- Mpro, the main protein made by the SARS-CoV-2 virus, is the culprit for cutting up proteins present in the target cell to reduce the immune response and, in the case of brain endothelial cells, cause their destruction.
Translating these findings to the clinic
So, is there anything that can be done with this knowledge to help patients? In fact, Mpro activity has been of interest to scientists even before the COVID-19 pandemic, as other coronavirus types, such as the virus that causes SARS, also make use of the same protein to wreak havoc on the body. Following the successful development of an oral synthetic Mpro inhibitor and validation of the effectiveness of the drug in mouse models of COVID-19 infection [9], pharma giant Pfizer is currently providing this drug in a phase 3 clinical trial to patients recently infected with COVID-19. Smaller companies like Todos Medical are also testing naturally occurring compounds with Mpro-inhibiting qualities.
The primary goal of these studies is, of course, to keep COVID-19 patients out of the hospital and promote their survival. Pfizer has reported a reduced risk of hospitalization and death by 89% in their trial, and out of the approximately 1000 patients given the drug, none had died from the virus within the first month. Given this most recent study on the destruction of brain endothelial cells via the introduction of Mpro, it is reasonable to believe that these drugs might also provide important brain protective properties. By reducing the activity of virally-produced Mpro to reduce the severity of COVID-19 infection and symptoms, these drugs could also provide the environment required for normal protein function, and therefore increased survival of brain endothelial cells and blood vessels.
As we push through the pandemic, our continued efforts in further understanding how the virus affects our bodies through laboratory and clinical research can only help in the development of therapies. These therapies will impact the survivability and prognosis for patients with COVID-19, and also may mitigate the long-term symptoms that affect the lives of millions of patients around the world.
References
- Wadman M, Couzin-Frankel J, Kaiser J, Matacic C (2020) A rampage through the body. Science. doi: 10.1126/science.abc3208
- Sungnak W, Huang N, Becavin C, et al. (2020) SARS-CoV-2 entry factors are highly expressed in nasal epithelial cells together with innate immune genes. Nature Medicine, 26:681-687
- Mayi BS, Leibowitz JA, Woods AT, et al. (2021) The role of neuropilin-1 in COVID-19. PLoS Pathogens, 17(1):e1009153
- Samavati L, Uhal BD (2020) ACE2, much more than just a receptor for SARS-CoV-2. Frontiers in Cellular and Infection Microbiology, 10:317
- Wenzel J, Lampe J, Muller-Fielitz H, et al. (2021) The SARS-CoV-2 main protease Mpro causes microvascular brain pathology by cleaving NEMO in brain endothelial cells. Nature Neuroscience, 24:1522–1533
- Iadecola C, Anrather J, Kamel H (2020) Effects of COVID-19 on the nervous system. Cell, 183:16-27
- Conklin J, Frosch MP, Mukerji SS, et al. (2021) Susceptibility-weighted imaging reveals cerebral microvascular injury in severe COVID-19. Journal of the Neurological Sciences, 421: 117308
- Daneman R, Prat A (2015) The blood-brain barrier. Cold Spring Harbor Perspectives in Biology, 7:a020412
- Owen DR, Allerton CMN, Anderson AS, et al. (2021) An oral SARS-CoV-2 Mpro inhibitor clinical candidate for the treatment of COVID-19. Science, 10.1126/science.abl14784
Cover Image Source: NIAID/Wikimedia Commons/CC BY 2.0

You must be logged in to post a comment.