June
23
Tags
Brain origami
Origami (from Japanese words “ori” meaning to fold and “kami” meaning paper) is the art of paper folding.
A brain and a sheet of office paper don’t seem to have much in common, but when you crumple up the sheet into a paper ball you are holding the key to one of the mysteries of brain development – how the brain gets its characteristic folds. Here we are going to talk about the art of brain folding.
If you have ever seen a picture of a human brain, you probably noticed how wrinkled its surface is. What’s that about? To understand the folds and wrinkles, let’s first introduce the cerebral cortex. The cerebral cortex is the outer layer of brain tissue composed of brain cells that contains all these folds. Although it is only a few millimeters thick, if we unfold the cortex of our brains it would measure up to 2.5 square feet – the size of a newspaper page!
Many scientists believe that the reason our brains have that wrinkly shape is evolutionary – folded brains evolved to fit a large cortex that accommodates all of our characteristic higher brain functions without growing a ginormous head. A folded brain surface means a larger surface area, which in turn means greater power for receiving and processing information. These characteristics are not specific to human brains though; other mammals such as dolphins, elephants and monkeys also show elaborate folds (Figure 1).

Figure 1. Brains of different mammalian species show different cortical folding patterns
In general, smoother brains are found in smaller species and folded brains are found in larger ones. For example, small mammals such as mice and rats have no cortical folds. Thus, for a while it was believed that larger brains meant more folds. This was debunked, however, by species like dolphins, which have human-sized brains but twice as many folds! Another possibility is that the more neurons a brain has the more it folds. Paradoxically, human cortices have three times the number of neurons as elephants, even though human brains are far less folded [1].
So it is still unclear what the mechanisms for brain folding are and why there is such a difference between species. But let’s start from the beginning and rewind all the way back to when our brains start forming.
Brain folding, or gyrification
Gyrification is the developmental process that leads to the formation of gyri and sulci (the ridges and furrows respectively) on the cerebral cortex. Up until the 20th week of fetal life, our brain is very smooth. Only then our cortex undergoes a huge expansion due to an enormous increase in the number of brain cells. As a result of this, the first superficial sulci and gyri appear, which elongate and branch, resulting in a complex pattern of folds at birth (Figure 2) [2, 3]. Scientists believe that a molecule named Trnp1 could be responsible for the expansion and folding of the cerebral cortex [4].

Figure 2. Gyrification of the human brain during the later half of gestation. GW stands for gestation week.
Although some folds might develop after birth, we are born roughly with the number of wrinkles that will remain for the rest of our lives. Human brains do not look exactly the same, but we all must have the same major folds in order to be healthy. All these major folds (and some not so major) have individual names, which can be a nightmare for any neuroanatomy student!
What happens when the brain doesn’t fold as it should?
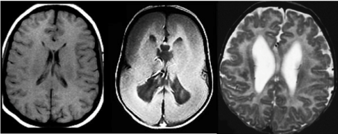
There are two brain formation disorders that are characterized by abnormal folding of the brain before birth: polymicrogyria and lissencephaly. In polymicrogyria, which literally means many (poly-) small (-micro-) folds (-gyria), the surface of the brain develops too many folds and the folds are very small. It can affect just a region of the brain or the whole brain. The symptoms depend on how much of the brain and which particular regions are affected, but some of the common symptoms are epilepsy, difficulty with speaking or chewing and mild to severe intellectual disability.
On the opposite side of the spectrum there is lissencephaly or smooth brain, from the Greek words “lissos” meaning smooth and “enkaphalos” meaning brain. Lissencephaly is a rare disorder characterized by a lack of development of brain folds. Children with lissencephaly generally have severe mental retardation and shortened life expectancy [5,6].

Figure 3. MRI images of a regular brain, a brain with lissencephaly and a brain with polymicrogyria, respectively.
Aside from these severe conditions, recent studies have found that somewhat small disturbances or differences in cortical folding patterns could be linked to some disorders such as schizophrenia, autism or anorexia nervosa. Moreover, there have been attempts to link unusual folding patterns to exceptional cognitive functions – one of the most famous cases is that of that of Einstein’s brain [5].
How the brain folds is pure physics
We don’t really know how the folding happens or what are the forces behind it. However, two recent studies might shed some light into the issue. According to these studies, whether or not a brain folds is pure physics.
Let’s recover that first example we gave at the beginning with the brain and a piece of paper. Turns out that the mammalian brain folds just like any sheet of paper, following the same physics principles. According to the paper ball model, folding increases with paper size and decreases with paper thickness. The same rules apply to cortical folding in brains – the thickness of cortex and its surface area are important factors. For instance, disorders like polymicrogyria or lissencephaly are also characterized by differences in cortical thickness.
Upon applying some external force (our hands), the sheet of paper crumples and settles into a shape that minimizes the energy. In our brains, the forces could be from the cerebrospinal fluid pushing from the inside out, from neurons forming the brain as they expand or from highly interconnected neurons whose axons mechanically are pulled close to each other. But just like the paper, the cortex simply looks for the best configuration that requires the least amount of energy. Interestingly, this optimal configuration may differ amongst different species [7].
Although the crumpled paper model helps understand the concept, a paper ball looks nothing like a human brain. Further work in this area influenced scientists to reproduce the wrinkled shape of a human brain using a 3D gel model. They made a replica of a fetal brain using MRI images when the cortex was still unfolded and coated it with a second thin layer of gel (as an analog of the cortex). The gel brain was immersed in a glass with a solvent that was absorbed by the outer layer, causing it to expand (mimicking the cortical expansion during development). The outer layer grew faster and crumpled into itself revealing a very familiar shape [3]. It looked like a real brain!
To sum up: the number, size, position and connections of neuronal cells during brain formation lead to the expansion of the cortex, relative to the underlying structures. Compression from several physical forces leads to instability, causing the cortex to fold in order to find the best energy state. New advances in the study of brain folding hold promise for understanding diseases in which the brain folds in an unusual way. Finally, if you want to try your own brain folding, give it a shot with this brain origami!
References:
- Toro R. On the possible shapes of the brain. (2012). Evolutionary Biology, 39 (4), 600-612.
- White T., Su S., Schmidt, M., Kao, CY., and Sapiro G. The development of gyrification in childhood and adolescence. (2010). Brain cognition, 72 (1): 36-55.
- Tallinen T., Chung JY., Rousseau F., Girard N., Lefèvre J. and Mahadevan L. (2016). On the growth and form of cortical convolutions. Nature Physics, 12, 588-593.
- Stahl R., Walcher T., De Juan Romero C., Pilz GA., Cappello S., Irmler M., Sanz-Aquela JM., Beckers J., Blum R., Borell V., and Götz M. (2013) Trnp1 regulates expansion and folindg of the mammalian cerebral cortex by control of radial glial fate. Cell, 153 (3), 535-49.
- Sun T., and Hevner RF. Growth and folding of the mammalian cortex: from molecules to malformations. (2014). Nature Reviews Neuroscience, 15, 217-232.
- Barkovich, AJ. Current concepts of polymicrogyria (2010). Neuroradiology, 52 (6), 479-487.
- Mota B. and Herculano-Houzel S. Cortical folding scales universally with surface area and thickness, not number of neurons (2015). Science, 349 (6243), 74-77.

You must be logged in to post a comment.